股骨頭壞死是誰的問題?(照片傷眼)想請問版上專業的 我大概1星期會爬山3~5天 大概45分~1~1.5小時,inbody測量下肢肌肉也是左右平均且高出 一般 事情是這樣的,因為肩膀感覺有點問題(懷疑跟脊柱有關),所以去萬笙 衡鬆整復 做了全身 整復 去之前我就有預期調完可能會痛個一二天 當下調的時候被告知有長短腳 有骨盆前傾,調了骨盆,我記得左腳跟被捏了一下很痛很大 力然後凹了一下? 調完回家以後感覺屁股跟腳有點微痛,但因為我有預設會痛所以當時沒太在意 問說調完能不能運動,對方也說可以 之後我告知說蹲馬步蹲不下去,對方建議說不要做深蹲動作,所以我去健身房推雪橇車 只 放了20公斤...六七十歲老爺爺都能推的重量 回家後 我洗澡就感覺左腳後跟痛起來了 左屁股連到大腿的肌肉有點抽&緊痛(坐椅子更明顯)左小腿會出現自動抖動的現象... 左右腿緊張程度不一,左右臀部肌肉 感覺左緊(肌肉用力狀態用手槌是硬的)右鬆(這邊雖 是用力狀態但槌下去還有彈性) 且左屁股會感覺有個點在痛 隔天我睡起來就無法走路了...用拐杖到台大後醫生開消炎止痛就叫我先吃二個禮拜 我吃了一天消炎止痛消腫後就跟萬笙說要再給對方檢查 對方看了後跟我說我這狀態沒問題 我後面問 這左股骨內旋,看起來角度不正常 對方說是我兩隻腳的肌肉比例不平衡 https://i.imgur.com/J5jvNtk.jpg
我就奇怪了 難道我inbody量假的?連續爬10天都沒問題 之後一個月真的是煎熬...我台北輾轉了幾家國術館跟整復花了超過一萬都沒看好 吃消炎止痛等全身不痛了以後 我才去踩踩飛輪 大概20分鐘~30分 第一天踩完感覺還可以,第二天踩完屁股又開始痛了 這個月24號去了高雄的賢德89正骨 說是左股骨內旋 梨狀肌發炎+腳踝位置有脫位 給喬了一下 瞬間我感覺屁股的痛消了7.8成,能正常行走了 但是股骨頭的問題拖了一個月...只看左小腿都可以明顯發現小了一號 肌肉都萎縮了 https://imgur.com/a/5uY6eHo 雙腿小腿 https://imgur.com/a/vxfj736 右小腿 https://imgur.com/a/ye0bz4E 左小腿 https://imgur.com/a/ziZOne5 右腳跟 https://imgur.com/a/v67TbEi 左腳跟-跟腱發炎 之後想想越想越氣,google留了評價瞬間7個點閱 沒多久我的評論就消失了...WTF? 想請問版上專業的這是我肌肉的問題?我真的覺得比扯鈴還扯 除了去台大那天以外其他天我都有走路但還是萎縮了 我這左腿還有救嗎?我減脂最倚仗的就是這條腿,以前瘋的時候連續爬2.3小時都沒問題 現在連跑步機都不敢碰...感覺自己像半個廢人 -- ※ 發信站: 批踢踢實業坊(www.ptt.org.tw), 來自: 118.166.22.130 (臺灣) ※ 文章網址: https://www.ptt.org.tw/MuscleBeach/M.1690642970.A.3E1
anoymouse: 所以哪裡壞死? 07/29 23:10
股骨頭缺血性壞死2.後期:會因股骨頭塌陷而使患肢縮短,甚至合併輕度的肌肉萎縮。 ...不過我搜尋網路照片也有看到嚴重萎縮的 ※ 編輯: capybaradash (118.166.22.130 臺灣), 07/29/2023 23:13:42
allen73420: 收集資料提告啊 07/29 23:13
LimpidDotey: 不要再去整骨了…你要輾轉求助的是大醫院而不是國術 07/29 23:18
LimpidDotey: … 07/29 23:18
boalone: 所以到底為什麼要去整骨 07/29 23:22
boalone: 就去醫院或物理治療不行嗎 07/29 23:22
※ 編輯: capybaradash (118.166.22.130 臺灣), 07/29/2023 23:22:59
zzzzzjosh: 怎麼會出狀況了還連續跑整復跟國術館阿? 07/29 23:23
joe513: 寧願花時間跑一堆國術館推拿正骨,就是不願意每個禮拜乖 07/29 23:23
joe513: 乖給同一個醫師看尋求轉診跟其他治療方法,到處看到處推 07/29 23:23
joe513: 到處喬,稍微不痛就繼續動到痛,你文章裡面有說以前連續 07/29 23:23
joe513: 爬十天都沒事,綜合你的種種習慣,要怪誰?我覺得怪你自 07/29 23:23
joe513: 己吧。 07/29 23:23
我是被轉診啦 足踝專科,而且我表妹也是台大看的腳扭到+足底筋膜炎 到現在沒看好 骨頭有脫位找台大? 我是不太清楚骨頭脫位去哪找物理治療所... 因為我看三個字影片都沒看到直接正位 ※ 編輯: capybaradash (118.166.22.130 臺灣), 07/29/2023 23:30:02
KY1998: 不去醫院掛復健科照X光,反而相信國術館?你哪天搞到要洗 07/29 23:31
KY1998: 腎也不意外,很明顯你就是相信偏方>>>>>>科學的人 07/29 23:31
我台大有照X光啊,黑人問號??? ※ 編輯: capybaradash (118.166.22.130 臺灣), 07/29/2023 23:32:21
KY1998: 你現在找問題也沒啥用,先好好治療吧,要減脂可以做划船 07/29 23:35
KY1998: 機 07/29 23:35
tomson91315: 看完內文還是不知道股骨頭壞死是你自己還是誰做的臆 07/29 23:48
tomson91315: 斷 07/29 23:48
halulu: 你這樣一直搞還真不知道問題是出在哪裡了 07/29 23:51
網路上看物理治療所的評價也一堆沒看好的,不知道要信誰 可能這幾天我會再跑一次台大 ※ 編輯: capybaradash (118.166.22.130 臺灣), 07/29/2023 23:59:51
liner74101: 陽明物理治療所 07/30 00:12
tyriel: 醫院和物理治療出事有醫事法會陪,整骨就自求多福了。 07/30 00:20
withthewind: 肌肉萎縮是很嚴重的事,奉勸你去醫院 07/30 00:20
rex4253: 你就相信你相信的 結果不是看到了嗎? 07/30 00:34
全身整復基本都差不多我是沒想到會出問題 武當WU-TANG 摩根老師整復調理 等等... ※ 編輯: capybaradash (118.166.22.130 臺灣), 07/30/2023 00:45:47
yasmine1030: 股骨壞死是哪邊的診斷? 07/30 01:11
經過看最後一家討論過後我推斷的,這個我倒是敢打賭的 因為台大王貞棣下星期額滿,我會預約下下禮拜的照MRI 我第一次給蔡清霖看,我有說屁股會痛但他看我腳跟還是直接轉到范垂嘉 給范垂嘉看 也有說屁股會痛,看完X光直接說是哈格蘭骨棘症候群 我服了 直接無視我骨盆痛 如果是哈格蘭骨棘症候群,查一下治療方法 就等於我要根治=開刀 而事實是 我腳踝正位以後,足跟腱撕裂的感覺就沒了 ※ 編輯: capybaradash (118.166.22.130 臺灣), 07/30/2023 01:30:11
cubegaga: 那個武當到底是不是正統的脊醫阿 07/30 01:24
cubegaga: 國術館出事頂多就走民事阿 07/30 01:28
cubegaga: 你喜歡整脊 可以去台灣凱羅協會 找真正的脊醫做 07/30 01:29
cubegaga: 台灣很多打著美式整脊的 都沒脊醫資格 呵呵 07/30 01:29
cubegaga: 根據你的敘述 我猜你主要應該是因為腳踝受傷 其他症狀 07/30 01:37
cubegaga: 都是由於腳踝問題身體代償後導致的 07/30 01:37
你這個說法一開始我也會相信 在理學檢查方面,髖部附近不會有. 局部壓痛,也不會有腫脹情形,但若將髖. 關節內旋 或外旋,患者會因病灶處受刺激. 而感到疼痛(即Patrick test陽性徵) 但是綜合上面的症狀 肌肉萎縮+不自主肌肉顫動 我感覺沒那麼簡單 ※ 編輯: capybaradash (118.166.22.130 臺灣), 07/30/2023 01:53:20
yenkuass: 不知道要信哪間物理治療 但是信國術館跟整脊那套 07/30 02:07
這關係我從小脫臼都是看國術館看好的 物理治療不知道何時興起的 可能最近5年?
huaiching: 整篇看完不知股骨頭壞死診斷從何而來,AVN大多是創傷 07/30 02:17
huaiching: 或類固醇使用,不算常見,建議尋求正規醫療比較保險 07/30 02:17
※ 編輯: capybaradash (118.166.22.130 臺灣), 07/30/2023 02:20:02
wan0zei: 等診斷證明書出來再說,現在整篇都是你覺得… 07/30 02:19
wan0zei: 然後沒看到半點正規治療…只有滿滿國術館跟整骨 07/30 02:20
正規治療你指的正規是哪種?吃藥 電療 牽引? https://reurl.cc/QXolNZ
xc2v: 發炎不就多休息 結果你你一直跑國術館跟整復 07/30 02:20
從歷程來看 我受傷是因為整復,那如果我不去正回來 照你說的多休息我就沒法運動了 我完全不痛後去踩飛輪20分鐘 連踩二天又發作了 ※ 編輯: capybaradash (118.166.22.130 臺灣), 07/30/2023 02:23:42
wan0zei: 現在應該先趕快接受治療為主 07/30 02:21
※ 編輯: capybaradash (118.166.22.130 臺灣), 07/30/2023 02:26:46
jaannddyy: 看不懂,敘述詭異,整理一下timeline 好不 07/30 02:24
huaiching: 假若有肌束顫動,合併無力、肌肉萎縮,還可能需排除運 07/30 02:25
huaiching: 動神經元或是肌肉病變,可諮詢神經內科或復健科,視情 07/30 02:25
huaiching: 況安排神經肌電圖檢查,骨科可能不一定熟悉這類疾病 07/30 02:25
rick6304: 你的問題可以了嗎 07/30 02:25
wan0zei: 看醫生,跟醫生討論要吃藥、手術還是物理治療。 07/30 02:32
wan0zei: 而不是自己認為醫生診斷有誤跑去外面整骨國術館,再來問 07/30 02:33
wan0zei: 是誰的問題 07/30 02:33
wan0zei: 我看就你的問題最大,有回答到你的問題了嗎? 07/30 02:33
行行行 我去搶掛號,到時有沒有誤診就知道了 我的把握沒100%也有99% ※ 編輯: capybaradash (118.166.22.130 臺灣), 07/30/2023 02:38:20
wan0zei: 另外肌肉萎縮是誰說的?從你的照片根本看不出來,也沒有 07/30 02:37
wan0zei: 對比 07/30 02:37
照片看不出來? 量小腿圍度幾公分就知道了 插了大概1.5有 修正一下 ...剛量 右44 左41.5 差2.5,算上有可能的誤差 最少大概有2公分 ※ 編輯: capybaradash (118.166.22.130 臺灣), 07/30/2023 02:41:55 ※ 編輯: capybaradash (118.166.22.130 臺灣), 07/30/2023 02:49:24 掛到了 明天再搶看看有沒有更早的 https://imgur.com/H9ANY93 ※ 編輯: capybaradash (118.166.22.130 臺灣), 07/30/2023 03:04:28
s9306302100: 笑死 有問題不找有執照的物理治療師或醫師來看診 跑 07/30 05:46
s9306302100: 去整脊國術館喬的 自己在哪蝦診斷 要相信偏方就做到 07/30 05:46
s9306302100: 底啊 還掛什麼號?應該去祭改吃香灰好的比較快啦 07/30 05:46
saintlin: 看你很厲害都已經自我診斷,而且打這麼多怎不去多看幾 07/30 07:21
saintlin: 位醫生討論,反而來這邊線上問診隔空抓藥? 07/30 07:21
qwert65732: 拜託去掛腦科好嗎 寧可做國術館 整復也不去給有執照 07/30 07:39
qwert65732: 的醫生看 07/30 07:39
loveisth520: 不看醫生自己上網找點資料就自以為起來了 07/30 08:11
loveisth520: 當醫生最怕的就是遇到你這種的病患 07/30 08:12
loveisth520: 相信專業 這四個字有很難嗎 一間不行就多看幾間醫生 07/30 08:12
halulu: 他想要的是神蹟 不是醫生 要「一次就好」 07/30 08:55
halulu: 有些傷就是時間慢慢養 07/30 08:55
amazingwow: 去台大看一次 然後跑好幾家國術跟整復? 有這時間 可 07/30 09:27
amazingwow: 以多看幾家或轉診 07/30 09:27
line6sorrow: 笑死,肩膀不舒服去整復推骨盆把股骨推錯位,還在抹 07/30 09:50
line6sorrow: 物理治療跟醫院有問題,壞死剛好而已 07/30 09:50
ChrisDavis: 我建議你可以繼續自我診斷再去整骨 07/30 10:02
SundayPeople: 自己判斷壞死?好喔 07/30 10:04
ChrisDavis: 只要不痛就去運動然後又痛,不就代表根本沒好 07/30 10:05
helloman: 既然不相信醫生 你還是靠自己治療吧 07/30 10:13
coqsportif: 你還真的以為物理治療是最近五年才問世的領域喔? 07/30 10:15
wan0zei: 加油,早日康復 07/30 10:36
dragon00031: 邏輯很有問題。 07/30 10:50
※ 編輯: capybaradash (118.166.32.151 臺灣), 07/30/2023 11:48:05
killkids: 呵呵 07/30 11:24
hankylee: 你的問題 07/30 11:29
hankylee: 不過好心回一下 骨科 復健科 自費物理治療都去看一下 每 07/30 11:32
hankylee: 個科別會用自己的角度去評估但至少他們能互相補足 自己 07/30 11:32
hankylee: 也要思考跟做功課 07/30 11:32
hankylee: 預設立場只會讓你傷永遠不會好 07/30 11:33
在這邊一次回 我真的懷疑你們有多少人受傷脫臼過? 完全貶國術館 捧西醫跟物理治療? 如果西醫跟物理治療對脫臼非常有效 有多少評價脫臼是去給物理治療看到好的?看評價我還沒看到 有誰真的脫臼(不開刀)是完全一路給物理治療看好的 是哪一間我想見識一下 李登輝還去看信義路的 忠義武術館?到醫院看就好了啊 當然我也不是完全否定物理治療 從最開始到現在我一開始提的肩膀脊椎問題為何我幾乎後面沒提? 因為我看好了,在一家綜合了傳統整復跟物理治療看好的 (也就是我高雄只看好了腳,後面才看好脊椎問題...) (我是第一次看到有人考了傳統整復後又去考物理治療的) 雖然招牌是傳統整復但實際上包含了物理治療的方法 鐵鎚敲打的反應速度測試,患部疼痛測試,左右施力對抗測試 看X光找問題點(影像醫學)等等 前後花了大概快一個小時測試 找問題點 (傳統整復我沒有碰過這樣的..大概就是聽你敘述完就開始) 後面確認是脊椎T4旋轉的問題 實際喬的時間也就大概幾分鐘吧 你說物理治療有沒有用? 非常有用 比很多傳統整復還懂且更細找到問題點 但你說國術館沒用?但物理治療依我看就不太可能做此類矯正 可能是受限於法規 或是受限於技術 就好像 高職 技術學院vs高中大學 就拿上面的忠義武術館為例 一天去看的人30~50人 每人收費約2000~5000+ 這些人都空安?不去看健保掛號一次150的? 很多都是跑大醫院無效去看的 如果喬3分鐘就會好,去西醫找哪個醫生喬? 我不是說西醫沒有人會喬喔,而是西醫可能幾百幾千中有極少數是會的 但在診間幾乎看不到 一堆推文 真的是一堆沒有脫臼過 ※ 編輯: capybaradash (118.166.32.151 臺灣), 07/30/2023 11:50:40
shane24156: 對 推文都不懂 那你上來po文用意是? 07/30 11:53
我來問專業的 真不知道國術館是觸碰到了那些人的神經? 學物理治療的看不起國術館的? 都吹到天上了我有點想看物理治療師去踢館的影片了 不多 就去忠義堂樓下攔截30位免費看,看有多少能看好的 ※ 編輯: capybaradash (118.166.32.151 臺灣), 07/30/2023 12:03:37
hankylee: 阿所以妳是不是被整復弄受傷的? 07/30 11:58
yenkuass: 你最懂,我們都不懂,你還是不要問我們好了 07/30 12:00
hankylee: 心中有答案還要上來問 給意見還要被問有沒有脫臼過 傷要 07/30 12:03
hankylee: 比你多才能給你意見? 07/30 12:03
我是被弄傷沒錯啊 但你說的好像西醫沒弄傷過人?一堆被西醫搞爛的跑去國術館求救 我沒否認 西醫的X光跟核磁共振,這能直接透視 但是同一張X光 不同醫生解讀也可能不同沒錯吧 能透過影像找到真正問題點這點這點我是信西醫的 ※ 編輯: capybaradash (118.166.32.151 臺灣), 07/30/2023 12:11:10
hankylee: 兩邊腳踝都有韌帶全斷 膝蓋韌帶斷兩條 骨裂 尾椎撞歪 07/30 12:05
hankylee: 手腕tfcc 但沒有脫臼過抱歉不能給你建議 07/30 12:05
你說tfcc 你是不是那只手拿鐵鍋沒力? 手握拳往橈骨尺骨方向凹會感覺不正常? 如果是 這我很有經驗...我看了超過快10家才看好 至於為何看了很久才看好 我的經驗是 國術館大多都是傳承 假如手部有7種問題,那就要有相對應7種手法 但很多師傅就只會其中幾招,也不一定完全知道哪種症狀對應哪種手法 問診時間又短 造成了這種情況
rax0010205: 尊重 07/30 12:06
yawenla: 這麼喜歡國術館幹嘛上來問? 07/30 12:11
※ 編輯: capybaradash (118.166.32.151 臺灣), 07/30/2023 12:18:52 ※ 編輯: capybaradash (118.166.32.151 臺灣), 07/30/2023 12:23:19 ※ 編輯: capybaradash (118.166.32.151 臺灣), 07/30/2023 12:24:17
hankylee: 我看一家復健科用注射治療跟一家自費物理治療好的啊 西 07/30 12:25
hankylee: 醫不是只有影像 是他們有一定的邏輯 07/30 12:25
這可能就是差異點 我是手用力撐地後感覺不正常,我反應就是脫臼了 你去西醫看 他說是tfcc那物理治療我就有點好奇了 有做類似國術館的徒手復位?物理治療到底有沒有看脫臼? 這版上應該有專業的物理治療師吧? ※ 編輯: capybaradash (118.166.32.151 臺灣), 07/30/2023 12:38:48 ※ 編輯: capybaradash (118.166.32.151 臺灣), 07/30/2023 12:40:21
ahan9008: 骨頭的問題 07/30 12:55
chigo520: 別鬧了 你這樣亂看國術館變這樣還想問要去那個國術館醫 07/30 12:56
chigo520: ?好好去看醫生…ptt鄉民的意見難道會比醫生有用? 07/30 12:56
chigo520: 好啦所以老外沒有國術館 脫臼都不會好 07/30 12:58
storyk49240: 真是奇文共賞lol 07/30 13:12
shane24156: 不是 說推文一大堆不懂又說你po文找專業 既然你認為 07/30 13:14
shane24156: 推文不懂又怎麼找專業? 07/30 13:14
我感覺有些專業的例如huaiching說的肌束顫動 至於炮說跑國術館的真的問號 我就是覺得診斷有問題才另尋他路 有些人就覺得你應該繼續看其他醫生或物理治療 這都是個人選擇吧?你保證看得好? ※ 編輯: capybaradash (118.166.32.151 臺灣), 07/30/2023 13:27:36
line6sorrow: 好啦你趕快去找國術館把壞死股骨喬回來再跟大家分享 07/30 13:15
line6sorrow: 哪個老師傅厲害 07/30 13:15
高雄看完我現在已經好多了,原本屁股是一大一小的且後臀會痛 如果說以前肌束顫動是100分現在只有5分 現在的問題就是我想確認肌肉萎縮能否復原跟這已經進展到第幾期了 ※ 編輯: capybaradash (118.166.32.151 臺灣), 07/30/2023 13:32:53
littlebun: 抱歉我覺得好好笑QQ 07/30 13:31
NCmax: 上網想問醫學專業是不是搞錯了 回答你是會有法律問題的 07/30 13:55
Anda: 為什麼不去正常西醫要去什麼整骨還是國術館的.. 07/30 14:38
Anda: 不能保證看好但至少是比較科學的 07/30 14:39
Anda: 一直跟推文爭論也解決不了問題 你想聽什麼呢 07/30 14:40
Anda: 自己診斷自己 又不相信西醫…. 07/30 14:42
Anda: 而且幹嘛一定要迷信台大?台大MRI有得等 07/30 14:43
youGG: 那就繼續去尋覓你的soulmate國術館阿,看啥醫院? 07/30 15:22
illawang: 這邊的人沒你專業,不用再浪費時間問了 07/30 15:50
在健身房時不時能看到有些人身上有拔罐的痕跡 雖然我是個館黑,但我覺得既然這樣那標準一致 館長健身房還跟推手整復合作 推手整復工作坊X成吉思汗特約店-新北三重整復/骨盆調理/筋膜放鬆/高低肩/脊椎 骨盆 歪斜調理推 請炮我也大力炮一下館長,怎能跟這種的合作對吧 ※ 編輯: capybaradash (118.166.43.65 臺灣), 07/30/2023 16:19:36
UCCUplz: 誰有下肌肉萎縮的診斷?你這只是單側肌肉在痛沒訓練到, 07/30 16:56
UCCUplz: 所以變小而已吧? 07/30 16:56
UCCUplz: 不然照你這樣說,那些原本有健身習慣,三個月沒健身肌肌 07/30 16:56
UCCUplz: 變小都能說是肌肉萎縮了 07/30 16:56
廢用性肌肉萎縮也是萎縮 但以我的活動量這機率極小 詳細等MRI照了應該就能確定 搶到明天的號了,我也想知道髖關節專科的醫師是怎樣判定 ※ 編輯: capybaradash (118.166.43.65 臺灣), 07/30/2023 17:05:39 ※ 編輯: capybaradash (118.166.43.65 臺灣), 07/30/2023 18:01:56
cubegaga: 中醫也有拔罐阿 又不是只有國術館== 而且拔罐風險小效 07/30 18:10
cubegaga: 果好 07/30 18:10
cue: 我也很好奇你有沒有股骨頭壞死,檢查完可以來回報嗎? 07/30 20:19
shinnosuke75: 我也好奇 另外台大MRI是可以說想照就馬上照的嗎? 07/30 20:26
minjih: 吃瓜等後續 07/30 20:32
這我就不知道是不是能馬上照了,如果是X光能馬上 但是X光前幾期是看不出來的,要看MRI才能看到有沒有異常 這如果不用MRI就下診斷不合理 明天看完我會回報 ※ 編輯: capybaradash (118.166.43.65 臺灣), 07/30/2023 20:56:16 ※ 編輯: capybaradash (118.166.43.65 臺灣), 07/30/2023 20:57:15
MagicYif: 看到一半就end 受傷還想運動?那就活該不會好 07/31 01:02
scholaray: 機率問題吧 國術館好的很好 壞的很多 但我自己會相信科 07/31 02:40
scholaray: 學啦 國術館不小心選到爛的就像你這樣 原本沒事變有事 07/31 02:40
howe86: 問題最大的就是你自己 07/31 02:47
howe86: 肩膀不對就去復健科或是還是骨科診斷 07/31 02:47
howe86: X光也好超音波也好 07/31 02:47
howe86: 都比你自己診斷覺得要找復整喬好 07/31 02:47
icq696969: 看起來你不信任西醫,那建議你去看李登輝看的那家國術 07/31 09:22
icq696969: 館!這裡沒有駐版醫生,沒人可以在未做檢查下就憑空診 07/31 09:22
icq696969: 斷。 07/31 09:22
zerosugar: 人體很複雜,不是這邊歪那邊凸喬回去就好,影像學不見 07/31 09:27
zerosugar: 得是找問題,但能排除更嚴重的問題,懂? 07/31 09:27
sibin: XD 07/31 10:13
yenkuass: 沒照過MRI? 報告不會馬上出來好嗎 一個禮拜基本盤 07/31 10:42
titus13: 旋轉肌發炎拉傷而已吧,股骨壞死?呵 07/31 12:22
醫生沒回答我為何 我早上一起來雙手夾在膝蓋後面 右邊濕熱 左邊比較乾冷 你來回答好了?
ZathanaZ: 本來想說些什麼,想想還是算了。 07/31 14:10
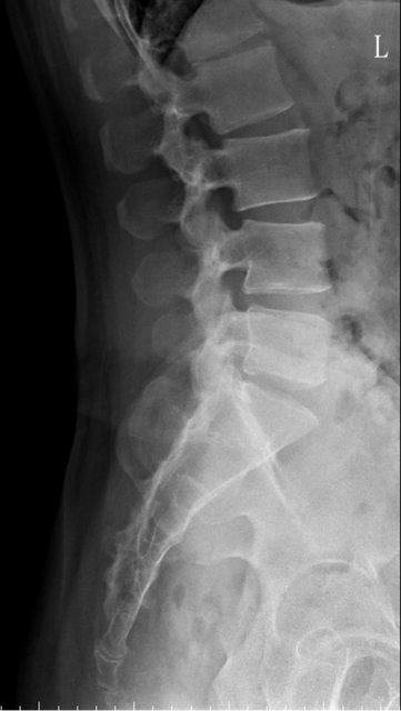
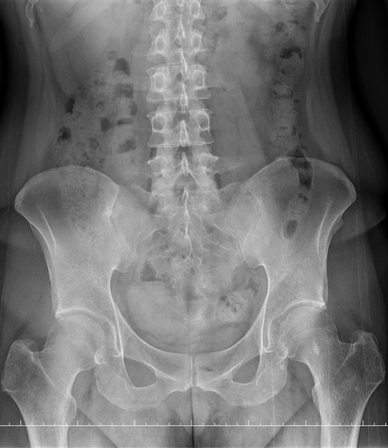
https://i.imgur.com/9HfkOHc.png
骨盆 https://i.imgur.com/h7KknkX.png
股骨頭放大特寫...左邊是右股骨 你覺得哪邊比較正常? https://i.imgur.com/16erxqZ.png
https://i.imgur.com/7NtJDKg.png
https://i.imgur.com/R4JFreK.jpg
醫生似乎很急 就問了二個問題就叫我去照X光 可能就一分鐘吧 回來看了下X光就說可能有神經壓迫 又是14天的消炎止痛藥 說還會痛再來回診或去看脊柱專科或復健科 感覺就是浪費了一天的時間排隊再排隊 沒得到答案 也沒有得到解決... 然後拿了吃越多可能洗腎越快的止痛藥 會不會下次脊柱專科也開14天消炎止痛說如果還有問題叫你去掛神經科? 為何不給我照MRI呢?我第一次去看問了MRI就還是只給我照X光 1.2期X光照了也不一定有異常,我實在不懂不用MRI的邏輯 體驗實在太差了,當然我也知道當有一百號排隊時問診就不可能細到哪怕只有15分 我想不等直接掛看看禮拜三神經科會怎解釋了 ※ 編輯: capybaradash (118.166.44.25 臺灣), 07/31/2023 14:29:17 ※ 編輯: capybaradash (118.166.44.25 臺灣), 07/31/2023 14:37:27
wujet09100: 要照MRI可以啊自費就可以了 我也很 但是醫生都是給我X 07/31 14:58
wujet09100: 光 07/31 14:58
wujet09100: 很想 07/31 14:59
yasmine1030: 如果你不信任醫生就自費照MRI,身體是你自己的你又 07/31 15:10
yasmine1030: 那麼堅持自己股骨壞死,那就自費照啊 07/31 15:10
看了下治療方法,那有看等於沒看了 照MRI似乎也是白做,自費照根本浪費 其實X光以我外行人放大好幾倍看過去,左股骨跟大腿骨明顯狀態較差 不清楚醫生是不是有鷹眼,小小一張看過去就說沒什問題 我是不會去考慮手術的 小時候骨折都是看國術館 還減壓股頭打孔...開刀100%NO 治療方法 1.拐杖 2.藥物治療(1)非類固醇類消炎止痛藥(NSAID) (2)口服雙磷酸鹽類藥物 (3)血管擴張劑 (4)高壓氧 目前股骨頭缺血性壞死的治療,根據現有的證據,仍然以手術為主流。 於早期(第一、二期),尚未塌陷的股骨頭缺血性壞死,髖關節減壓手術值得一試, 至於第三、甚至第四期股骨頭缺血性壞死,人工髖關節置換術能夠有效的解除疼痛以及恢 復行走負重的功能。 ※ 編輯: capybaradash (118.166.44.25 臺灣), 07/31/2023 16:04:20
stuj9019: 去古亭的超越看 然後非鴉片類止痛藥要吃到洗腎還難度應 07/31 15:55
stuj9019: 該比國術館按到骨頭壞死還難 07/31 15:55
我真不理解為何一堆人推一些4星 或低星的 一查2.9顆星 你4不4想害我?
shinnosuke75: 請教高人 這張股骨X光代表什麼呢? 07/31 16:00
※ 編輯: capybaradash (118.166.44.25 臺灣), 07/31/2023 16:08:12
yawenla: 你自己都會看x光片了,那就去國術館吧 07/31 16:23
stuj9019: 我打球肩膀掉下來就在那裡看的 害你媽 07/31 16:41
stuj9019: https://i.imgur.com/wAdi9YR.jpg 07/31 16:41
stuj9019: 更早之前韌帶爆掉也在那裡看的 復原都很良好 那家就專門 07/31 16:43
stuj9019: 看國手運動傷害的 你確定你有比國手了解運動醫學? 07/31 16:43
stuj9019: https://i.imgur.com/jDE66h1.jpg 07/31 16:43
行吧 我找高星都會踩坑了,這種的我不敢試 ※ 編輯: capybaradash (118.166.44.25 臺灣), 07/31/2023 16:46:29
g17321732: 簡單講幾點 07/31 18:18
g17321732: 1.骨頭看起來沒大問題,x光不是放大找不一樣這麼簡單 07/31 18:18
g17321732: 2.止痛藥在正規醫療下吃到洗腎非常難,大多數都是吃了 07/31 18:18
g17321732: 來路不明的藥物 07/31 18:18
g17321732: 3.MRI對你的幫助不大,X光已經足夠清楚,不用花冤枉錢 07/31 18:18
UCCUplz: 哪裡看起來壞死? 07/31 19:52
wujet09100: 好想看骨科大出來 07/31 19:57
AppliedMath: 嗯 07/31 21:30
cubegaga: 大部分骨科都這樣啊 照X光 不是太大問題就說肌肉發炎神 07/31 21:45
cubegaga: 經壓迫 然後開止痛藥 不意外有夠爛 07/31 21:45
yasmine1030: 所以你還是堅持你自己診斷的股骨壞死? 08/01 01:25
yasmine1030: 那請問你幫自己下什麼療程? 08/01 01:26
yasmine1030: 人體不是百分百對稱我實在看不出你X光兩邊股骨有何差 08/01 01:29
yasmine1030: 異 08/01 01:29
我已經預約到11號長庚的台灣髖關節權威了,真是難預約 滿滿滿的 我身體有問題,醫生還找不出問題是幹飯的?就會開刀是不是? 真的不是我吐槽 我不是只有平常衣服外面可見的小腿小了一號 而是 從屁股 大腿 到小腿 X光你說看不出問題可以啊,我就看給不給我照MRI 不照又找不出問題是我的責任嗎?還是醫師不想擔責任? 我萬不得已不想開刀 我盡量不做觸地跟負重的腿部運動,就瑜珈墊上做促進血液循環
Observation: 其實我也很想知道是怎麼影像判讀出骨頭壞死的…我沒 08/01 02:25
Observation: 有看出什麼異常的白點(表示骨面被侵蝕變得凹凸不平 08/01 02:25
Observation: )(by the way 我也不是醫師,只是略念過幾年醫學 08/01 02:25
Observation: 院),不過老師也都說病人的感受是很重要的資訊。 08/01 02:25
Observation: 醫病關係的基礎是需要互信的。既然你也看三個字的影 08/01 02:37
Observation: 片,有兩家都替你診斷出了「左股骨內旋」,就假設這 08/01 02:37
Observation: 兩家都是正確的診斷,那可能表示你的運動習慣中存在 08/01 02:37
Observation: 著某些不良姿勢或舊傷,導致你很容易復發「左股骨內 08/01 02:37
Observation: 旋」,沒有找出姿勢習慣的問題,再喬幾次一定還是很 08/01 02:37
Observation: 容易復發。建議是找信任的治療師(對,信任是最基礎 08/01 02:37
Observation: 最重要的),不管你要找國術館、物理治療還是 cros 08/01 02:37
Observation: s fit 的教練來幫你調整姿勢。 08/01 02:37
Observation: 另外「吃消炎止痛等全身不痛了以後…(下略)」好像 08/01 02:39
Observation: 很多人都會誤會,不痛,真的不表示身體就好… 08/01 02:39
Observation: 「第一天踩完感覺還可以,第二天踩完屁股又開始痛了 08/01 02:43
Observation: 」說不定就是飛輪姿勢?(單純猜測,或是你那幾天也 08/01 02:44
Observation: 有爬山?)總之,祝你早日康復 08/01 02:44
我內旋是整復完就感覺不太對所以照了照片,對方說沒問題 一開始嚴重的時候 屁股是 嚴重的左小右大 左緊(夾緊屁股臀肌的感覺且敲打下去是硬的)幾乎沒什脂肪包覆的感覺 右鬆(夾緊屁股臀肌的感覺且敲打下去是軟的裡面是硬的)有脂肪包覆的感覺 左膝蓋內側會有脹痛感 坐下跟抬腿時 左腿明顯往內 坐下時 左大腿內側肌肉緊繃 左小腿肚時不時自己抖動起來以為見到鬼..(左膝蓋左上方有時會感覺似乎輕微抖動) 現在屁股左小右大跟內旋問題大致是解決了,但有萎縮的問題 我全程總共測試了三次 更早的就不講了 第二次就是在去高雄(24號)看前 踩了後屁股痛起來(腳跟沒事?可能是我有意墊腳縮後跟的關係) 我看完當下覺得痛感消失了至少6.7成 其實後面回台北又去踩了測試(可能有人會說該死怎又去踩..) 這次就沒有痛起來 原本的疼痛大概就剩1成 至於爬山我是根本不敢試,應該說只要有觸地的我都盡量避開 因為我前面就有試過只負重5公斤蹲屁股 隔天腳跟就腫起來... 這裡面最詭異的還是一開始的屁股嚴重一大一小 我查到現在都不知道哪裡出了問題
bustinjieber: 不知道怎麼吐槽 08/01 09:20
※ 編輯: capybaradash (118.166.44.196 臺灣), 08/01/2023 11:34:20
seanidiot: 建議直接相信自己就好,人家每一個建議都要反駁也很累 08/01 11:39
※ 編輯: capybaradash (118.166.44.196 臺灣), 08/01/2023 11:42:56
shinnosuke75: 請問左小右大跟萎縮是不同件事嗎?雖然我兩者都看 08/01 14:54
shinnosuke75: 不出來 08/01 14:54
屁股嚴重左小右大是一開始整復完就發現了 那時應該還沒萎縮這嚴重 我是後面才發現小了一圈...因為小腿經常無意識的在那跳動 明天我會付費測試inbody跟之前的數據作對比 這是614測的左右腳肌肉量 https://imgur.com/a/6gPs4yF anoymouse: 所以哪裡壞死? 07/29 23:10